Leptomeningeal disease (LMD) is a serious complication that can arise in individuals with advanced cancer, particularly when the cancer has spread throughout the body despite ongoing treatment. The diagnosis of LMD can be devastating, especially given that there is often no cure for this condition. Patients may experience feelings of anger, fear, or overwhelm, particularly after enduring extensive cancer treatments. It is important to seek support from healthcare providers who understand the challenges associated with LMD and are prepared to offer assistance.
Leptomeningeal Disease | What to Expect
Cleveland Clinic's health articles are developed using evidence-based information and are reviewed by medical professionals to ensure accuracy, reliability, and adherence to current clinical standards. This commitment to quality is reflected in the information provided regarding complex conditions such as leptomeningeal disease in melanoma.
What is Leptomeningeal Disease?
Leptomeningeal disease occurs when cancer cells spread to the meninges, which are the membranes that surround the brain and spinal cord. This condition is also referred to as leptomeningeal carcinomatosis or leptomeningeal metastasis. In the context of melanoma, LMD signifies a progression of the disease, indicating that melanoma cells have metastasized beyond the primary tumor site and have infiltrated the central nervous system's protective layers.
Melanoma and Leptomeningeal Metastasis
Melanoma, a type of skin cancer, has the potential to metastasize to various organs, including the brain and spinal cord. When melanoma spreads to the leptomeninges, it can lead to a range of neurological symptoms. The presence of melanoma cells within the cerebrospinal fluid (CSF) or on the surface of the brain and spinal cord can disrupt normal neurological function.

Symptoms of Leptomeningeal Disease in Melanoma
The symptoms of leptomeningeal disease can vary widely depending on the location and extent of cancer spread within the meninges. Common symptoms may include:
- Headaches, which can be severe and persistent
- Nausea and vomiting
- Seizures
- Changes in mental status, such as confusion or difficulty concentrating
- Weakness or numbness in the limbs
- Difficulty with coordination and balance
- Vision changes
- Back pain
These symptoms can significantly impact a patient's quality of life and require prompt medical evaluation and management.
Diagnosis of Leptomeningeal Disease
Diagnosing leptomeningeal disease typically involves a combination of imaging studies and analysis of cerebrospinal fluid. Key diagnostic methods include:
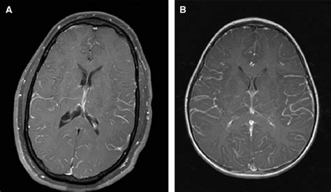
Magnetic Resonance Imaging (MRI)
MRI scans of the brain and spine are crucial for visualizing the leptomeninges and detecting any abnormalities, such as enhancement of the meningeal layers or the presence of tumor nodules. Gadolinium contrast is often used to improve the detection of these changes.

Cerebrospinal Fluid (CSF) Analysis
A lumbar puncture (spinal tap) is performed to collect CSF for analysis. Cytological examination of the CSF can identify cancer cells, confirming the diagnosis of leptomeningeal metastasis. Additional tests may be performed on the CSF to assess for specific biomarkers.
Other Imaging Techniques
In some cases, other imaging techniques may be used, but MRI is generally the preferred modality for evaluating leptomeningeal disease.
Treatment Approaches for Leptomeningeal Melanoma
Treatment for leptomeningeal disease in melanoma is challenging and often focuses on managing symptoms, slowing disease progression, and improving quality of life. Treatment options may include:
Systemic Therapy
Systemic treatments, such as targeted therapy or immunotherapy, may be used to target melanoma cells throughout the body, including those in the leptomeninges. The effectiveness of these treatments can vary.
Intrathecal Therapy
Intrathecal chemotherapy involves delivering chemotherapy directly into the cerebrospinal fluid via an Ommaya reservoir or lumbar puncture. This approach aims to achieve higher drug concentrations in the affected area.
Radiation Therapy
Radiation therapy may be used to target specific areas of leptomeningeal involvement, particularly if there are focal tumor deposits causing significant symptoms. Whole-brain radiation therapy might be considered in certain situations.
Supportive Care
Supportive care is essential for managing symptoms such as pain, nausea, seizures, and neurological deficits. This may involve medications, physical therapy, and other interventions to enhance comfort and function.
Leptomeningeal Disease | What to Expect
Prognosis
The prognosis for patients with leptomeningeal disease, including that associated with melanoma, is generally poor. The condition often indicates advanced disease, and survival rates can be limited. However, advancements in treatment and supportive care continue to offer hope and improve outcomes for some individuals.
tags: #leptomeningeal #disease #melanoma